病例回顾:生命垂危的“瓣膜危机”
77岁的张先生(化名)被推进青岛三医心内二科时,已陷入极度危险的境地。近半年来,他从步行500米即胸闷气喘,发展到轻微活动甚至夜间休息时都无法平卧呼吸。更令人揪心的是,这位老人身患高血压、冠心病、陈旧性心肌梗死、心室室壁瘤、冠状动脉支架植入术后、慢性阻塞性肺病、脑梗死、消化道溃疡、慢性肾功能不全等多重顽疾,且因慢性肾功能不全需长期规律血液透析治疗。
心脏彩超显示,其主动脉瓣重度关闭不全,心脏如同“漏水的水泵”,每搏输出量严重不足。传统开胸换瓣手术是唯一有效手段,但患者复杂的共病史让外科团队望而却步:血液透析导致的凝血功能障碍、心室室壁瘤的脆弱性、肺功能差、心力衰竭……手术风险极高,患者一度陷入“无路可走”的绝境。
破局之道:TAVR技术点亮生命之光
面对这一罕见高危病例,青岛三医启动全院多学科协作(MDT),由袁涛副院长牵头,联合心内二科、麻醉科、重症医学科、肾病老年医学科、呼吸与危重症医学科、消化内科、超声科等专家展开深度讨论。经过反复评估,团队最终锁定经导管主动脉瓣置换术(TAVR)——这一国际领先的微创介入技术,无需开胸、无需体外循环,通过血管路径将人工瓣膜精准植入病变位置,为传统手术禁忌患者带来生机。
技术攻坚:三重挑战如何破解?
高危凝血管理
患者长期血液透析导致血小板功能异常,术中出血风险高。团队提前优化抗凝方案,采用低剂量肝素+局部止血技术,在保障手术视野的同时将出血量控制在极低水平。
脆弱心脏保护
心室室壁瘤及严重心功能不全要求术中血流动力学绝对稳定。麻醉科团队采用分阶段精准麻醉,联合超声科行食道超声实时监测心脏瓣膜情况,确保瓣膜释放过程零并发症。
多脏器功能协同
慢性阻塞性肺病与脑梗后遗症使患者耐受性极差。麻醉科团队术中精准稳定血流动力学,重症医学科团队准备了各种应急抢救器械和应急方案。
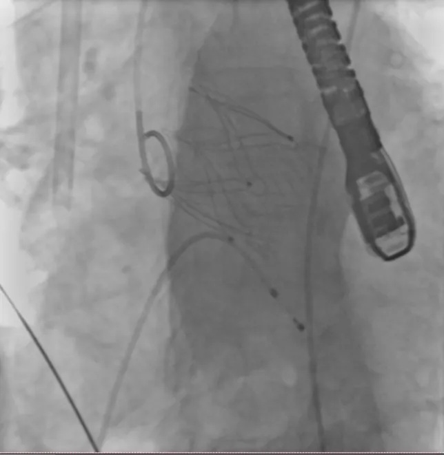
手术纪实:毫米级的生命博弈
2026年3月22日,在国内知名介入心脏病学专家指导下,导管室无影灯下,手术团队以股动脉入路建立“生命通道”。在DSA影像引导下,导丝如“绣花针”般精准穿越血管,将生物瓣膜经导管输送至主动脉根部。随着定位精准释放,新瓣膜如“绽放的花朵”完美贴合,反流即刻消失。


术后康复:从“不能动”到“能行走”
术后第2天,张先生即可在床边坐立;第3天,已可缓步行走。更令人惊喜的是,其血透方案与心脏功能实现“动态平衡”,肾功能未受手术影响。目前患者已转入普通病房,即将康复出院。
技术突破:TAVR如何改写高危患者命运?
TAVR技术,其核心优势在于:
微创性:仅需腹股沟区5mm切口,避免胸骨劈开
兼容性:可治疗主动脉瓣狭窄、关闭不全等复杂病变
快速康复:术后3-5天即可出院,1个月恢复完全生活能力
作为一种成熟的微创介入技术,TAVR 已成为外科手术高危患者的首选治疗方案。此次采用的 TaurusTrio 瓣膜系统,凭借其精准锚定、高兼容性的优势,有效破解了单纯主动脉瓣反流的介入治疗难题。而 MDT 多学科协作模式的高效运转,更是为复杂病例提供了全流程、个性化的诊疗保障,体现了医院 “以患者为中心” 的核心服务理念。青岛三医自2025年开展TAVR以来,已成功救治多例高危患者,手术成功率极高。此次联合血液透析患者的突破,标志着医院在泛血管疾病综合治疗领域再攀高峰
生命至上:我们的承诺
“对于终末期瓣膜病患者,时间就是生命,技术就是希望。”袁涛副院长强调,“TAVR的成功开展,是医院‘以患者为中心’理念的生动实践。我们将继续拓展微创技术边界,让更多‘被判死刑’的患者重获新生。”
专家介绍

马卫武
青岛市第三人民医院心内二科主任 主任医师 医学硕士
社会兼职:山东省医学会心血管病学分会基层学组副组长,山东省医师协会高血压专业委员会常务委员,山东省预防医学会心血管疾病防治委员会常务委员,山东省中西医结合学会心脏重症与结构性心脏病委员会常务委员,山东省医师协会胸痛专业委员会委员,山东省研究型医院协会介入心血管病分会常委、青岛市老年医学会心血管病副主任委员等。曾获市优秀中青年专家、市优秀科技工作者称号,获山东省介入心脏病学专业奖,主持省级科研项目1项,主持市级科研项目3项,获得市级科技进步奖3项。
专业特长:对冠心病、心绞痛、急性心肌梗死、高血压、心律失常、心肌病、心力衰竭、卵圆孔未闭、房间隔缺损的诊治工作有丰富的临床经验,尤其擅长冠状动脉造影、冠状动脉支架置入术、起搏器置入术、心律失常射频消融术、卵圆孔未闭介入封堵术等心血管介入技术。

姜玉瑞
青岛市第三人民医院心内二科副主任 副主任医师
先后获得青岛市优秀青年医学人才、青岛市青年岗位能手、青岛市优秀志愿者等称号,目前担任山东省疼痛医学会介入心血管病专业委员会委员、山东省健康管理协会介入心脏病学分会委员、山东省微量元素科学研究会心血管慢病防治专业委员会委员、山东省医学会介入心血管分会委员会青年学组委员、青岛市医学会心血管病介入专业委员会委员、青岛市医学会中西医结合学会心血管专业委员会委员,青岛市医学会中西医结合学会胸痛专业委员会委员、青岛市医学会老年康复专业委员会委员,擅长冠心病急诊及择期介入治疗,各类心律失常及急慢性心力衰竭的诊治。
分享
大家爱看